0 Comments

JAKARTA, incahospital.co.id – Hemoptisis atau batuk berdarah sering membuat orang panik. However, tidak semua kasus hemoptisis bersifat berat atau mematikan. Moreover, batuk berdarah sendiri bukan sebuah penyakit. Also, kondisi ini lebih tepat disebut sebagai gejala dari penyakit lain yang ada di dalam tubuh.

Secara medis, hemoptisis berarti keluarnya darah dari saluran napas bawah. In addition, darah ini bisa bercampur dengan dahak atau keluar sendiri saat batuk. Furthermore, warna darah biasanya merah cerah dan kadang tampak berbusa. Therefore, kondisi ini berbeda dengan muntah darah yang berwarna gelap seperti kopi.

Data medis menunjukkan bahwa hemoptisis bisa terjadi pada siapa saja. For example, sekitar 10 hingga 15 persen pasien paru pernah alami kondisi ini. However, sebagian besar kasus bisa ditangani di fasilitas kesehatan tingkat pertama. Also, sekitar 90 persen kasus hemoptisis tidak butuh rujukan ke rumah sakit besar. Therefore, deteksi dini dan penanganan tepat menjadi kunci utama.

Moreover, hemoptisis perlu dibedakan dari kondisi lain yang mirip. For example, darah dari mimisan yang mengalir ke tenggorokan bisa keluar saat batuk. In addition, kondisi ini disebut sebagai pseudohemoptisis. Furthermore, gusi berdarah juga bisa membuat dahak tampak kemerahan. Therefore, pemeriksaan yang teliti sangat penting untuk memastikan sumber darah yang keluar.

Penyebab Hemoptisis yang Perlu Diwaspadai

Hemoptisis

Ada banyak hal yang bisa memicu terjadinya hemoptisis. However, penyebab paling umum berasal dari gangguan di saluran napas dan paru. Also, data medis menunjukkan bahwa 70 hingga 90 persen kasus pada orang dewasa disebabkan oleh empat kondisi utama. Therefore, mengenali penyebabnya sangat penting untuk langkah penanganan yang tepat.

Berikut penyebab hemoptisis yang paling sering ditemui:

  • Peradangan pada saluran napas atau bronkitis. In addition, kondisi ini membuat saluran udara menuju paru meradang dan penuh lendir
  • Pelebaran saluran napas yang tidak normal atau bronkiektasis. Furthermore, kondisi ini menyebabkan infeksi berulang dan batuk berdahak darah
  • Radang paru atau pneumonia yang terjadi akibat infeksi bakteri, virus, atau jamur. Also, peradangan dan cairan di paru bisa memicu perdarahan
  • TBC atau tuberkulosis yang masih sangat banyak ditemukan di Indonesia. As a result, TBC menjadi salah satu penyebab utama hemoptisis di negara berkembang

Selain empat penyebab utama itu, ada juga penyebab lain yang perlu diketahui:

  • Kanker paru yang merusak jaringan di sekitarnya. Therefore, sel kanker bisa membuat pembuluh darah pecah dan berdarah
  • Penyakit paru sumbatan menahun atau PPOK. In addition, kondisi ini sering terjadi pada perokok berat
  • Abses paru atau kantong nanah di dalam paru. Furthermore, infeksi berat bisa membuat jaringan paru rusak
  • Emboli paru atau sumbatan pada pembuluh darah paru. Also, bekuan darah dari kaki bisa berpindah ke paru
  • Gagal jantung yang membuat tekanan di pembuluh darah paru naik. As a result, darah bisa merembes ke saluran napas
  • Gangguan pembekuan darah atau penggunaan obat pengencer darah. Moreover, kondisi ini membuat perdarahan lebih mudah terjadi
  • Penyakit autoimun seperti lupus atau sindrom Goodpasture. Therefore, sistem kekebalan tubuh justru menyerang jaringan paru sendiri

Gejala Hemoptisis yang Harus Segera Ditangani

Gejala utama hemoptisis yaitu keluarnya darah saat batuk. However, ada beberapa gejala lain yang sering menyertai kondisi ini. Also, gejala tambahan ini bisa memberi petunjuk tentang penyebab yang mendasari. Therefore, perhatian terhadap setiap gejala sangat penting.

Berdasarkan jumlah darah yang keluar, hemoptisis terbagi menjadi tiga tingkat:

  1. Hemoptisis ringan dengan jumlah darah kurang dari 20 mililiter. For example, ini setara kurang dari satu sendok makan darah per hari
  2. Hemoptisis sedang dengan jumlah darah antara 20 hingga 200 mililiter. In addition, kondisi ini sudah butuh pengawasan lebih ketat dari dokter
  3. Hemoptisis berat atau masif dengan jumlah darah lebih dari 200 mililiter. Furthermore, kondisi ini bisa mengancam nyawa dan butuh penanganan darurat

Also, berikut gejala tambahan yang sering menyertai hemoptisis:

  • Batuk yang sudah berlangsung lama selama beberapa minggu. In addition, batuk ini biasanya muncul sebelum darah mulai keluar
  • Sesak napas yang terasa semakin berat dari hari ke hari. Furthermore, sesak ini bisa mengganggu kegiatan sehari hari
  • Nyeri di dada yang terasa tajam atau seperti tertekan. Also, nyeri ini bisa muncul saat bernapas dalam atau batuk
  • Demam tinggi yang menandakan adanya infeksi di dalam tubuh. Therefore, demam bersama batuk berdarah perlu segera ditangani
  • Berat badan turun tanpa sebab yang jelas. As a result, kondisi ini bisa menjadi tanda kanker atau TBC
  • Nafsu makan menurun dan tubuh terasa sangat lemas. Moreover, kedua gejala ini sering muncul bersamaan
  • Keringat berlebihan di malam hari tanpa sebab yang jelas. In addition, gejala ini khas pada penderita TBC

Furthermore, hemoptisis berat sangat berbahaya karena bisa menyebabkan sesak napas hebat. Also, kematian akibat hemoptisis berat biasanya terjadi karena tersedak darah dan bukan karena kehabisan darah. Therefore, segera cari pertolongan medis jika batuk berdarah dalam jumlah banyak.

Cara Dokter Memeriksa Penyebab Hemoptisis

Saat pasien datang dengan keluhan batuk berdarah, dokter akan melakukan serangkaian pemeriksaan. However, langkah pertama yaitu menanyakan riwayat kesehatan secara rinci. Also, dokter perlu tahu seberapa banyak darah yang keluar dan sudah berapa lama kondisi ini terjadi. Therefore, jawaban yang jujur sangat membantu proses pemeriksaan.

Berikut pemeriksaan fisik awal yang dilakukan dokter:

  • Mengukur tekanan darah untuk menilai kondisi peredaran darah. In addition, tekanan darah rendah bisa menjadi tanda perdarahan berat
  • Memeriksa detak jantung dan laju pernapasan. Furthermore, detak jantung cepat bisa menandakan tubuh sedang kehilangan banyak darah
  • Mengukur kadar oksigen dalam darah lewat alat di ujung jari. Also, kadar oksigen rendah menunjukkan bahwa paru tidak bekerja dengan baik
  • Mendengarkan suara napas lewat stetoskop. Therefore, suara napas yang tidak normal bisa memberi petunjuk lokasi masalah

Moreover, dokter juga akan melakukan pemeriksaan penunjang. In addition, berikut beberapa tes yang sering dilakukan:

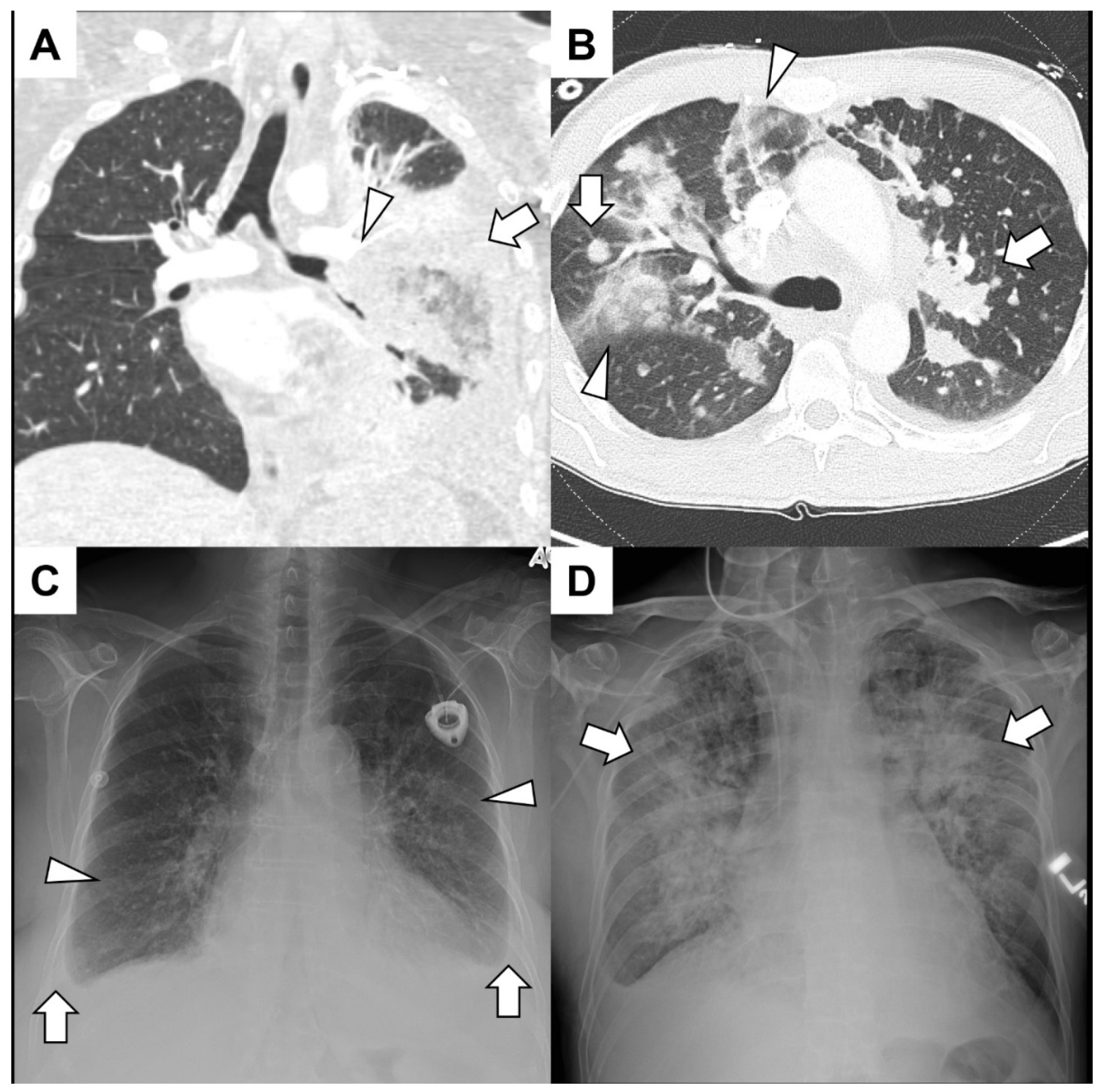
  1. Rontgen dada untuk melihat apakah ada cairan atau sumbatan di paru. As a result, gambar rontgen bisa menunjukkan kelainan di dalam rongga dada
  2. CT scan yang memberi gambar lebih rinci tentang kondisi di dalam dada. Furthermore, tes ini bisa mengungkap beberapa penyebab hemoptisis
  3. Bronkoskopi yaitu pemeriksaan dengan selang kamera lewat hidung atau mulut. Also, dokter bisa melihat langsung kondisi saluran napas dari dalam
  4. Tes darah lengkap untuk mengetahui jumlah sel darah dan tanda infeksi. In addition, sel darah putih tinggi bisa menunjukkan adanya infeksi
  5. Kultur dahak untuk mencari jenis bakteri atau virus penyebab infeksi. Therefore, hasil tes ini membantu dokter memilih obat yang tepat
  6. Tes pembekuan darah untuk melihat apakah darah bisa membeku normal. Moreover, gangguan pembekuan bisa menjadi penyebab perdarahan
  7. Pemeriksaan urin untuk menyingkirkan penyakit autoimun tertentu. For example, sindrom Goodpasture bisa diketahui lewat tes urin

Pilihan Penanganan dan Pengobatan Hemoptisis

Penanganan hemoptisis sangat bergantung pada tingkat keparahan dan penyebabnya. However, tujuan utama penanganan ada dua hal penting. First, menghentikan perdarahan yang terjadi. Second, mengobati penyakit yang menjadi penyebab dasarnya. Therefore, penanganan harus dilakukan secara menyeluruh.

Berikut pilihan penanganan untuk hemoptisis ringan:

  • Obat batuk untuk meredakan gejala dan mengurangi iritasi saluran napas. In addition, dokter bisa meresepkan obat penekan batuk agar perdarahan tidak bertambah
  • Istirahat yang cukup agar tubuh bisa pulih dengan baik. Furthermore, hindari kegiatan berat yang bisa memicu batuk lebih parah
  • Minum air putih yang cukup agar dahak tidak terlalu kental. Also, dahak yang encer lebih mudah dikeluarkan tanpa batuk keras

Also, berikut penanganan untuk hemoptisis sedang hingga berat:

  • Pemberian obat lewat infus untuk menjaga cairan dan tekanan darah tetap stabil. Therefore, tubuh tidak mengalami syok akibat kehilangan darah
  • Terapi oksigen untuk memastikan kadar oksigen tubuh tetap cukup. In addition, pasien mungkin perlu masuk ruang perawatan khusus
  • Pemberian obat antibiotik jika penyebabnya yaitu infeksi bakteri seperti TBC atau pneumonia. Furthermore, obat harus diminum sampai habis sesuai anjuran dokter
  • Pemberian obat penguat pembekuan darah jika pasien punya gangguan pembekuan. Moreover, obat pengencer darah mungkin perlu dihentikan sementara

Furthermore, untuk hemoptisis yang sangat berat atau masif, ada tindakan khusus:

  • Tindakan sumbat pembuluh darah paru lewat kateter atau embolisasi. For example, dokter memasukkan selang lewat pembuluh darah di kaki hingga ke paru. In addition, pembuluh yang berdarah kemudian disumbat dengan bahan khusus. Also, tingkat keberhasilan tindakan ini mencapai 85 hingga 100 persen
  • Bronkoskopi untuk memasang balon penyumbat di saluran napas yang berdarah. Furthermore, tindakan ini bisa menghentikan perdarahan dari dalam saluran napas
  • Operasi bedah untuk mengangkat bagian paru yang rusak atau berdarah. However, operasi ini hanya dilakukan jika sumber perdarahan sudah jelas. Therefore, dokter akan memastikan paru yang tersisa masih bisa bekerja dengan baik

Tips Menjaga Kesehatan Paru agar Terhindar dari Hemoptisis

Mencegah hemoptisis berarti menjaga kesehatan paru secara keseluruhan. Also, gaya hidup sehat menjadi fondasi utama untuk paru yang kuat. Therefore, berikut beberapa tips yang bisa dilakukan sehari hari.

Berikut cara menjaga kesehatan paru agar terhindar dari hemoptisis:

  1. Berhenti merokok karena rokok merusak saluran napas dan paru secara perlahan. In addition, merokok meningkatkan risiko kanker paru dan PPOK
  2. Hindari paparan debu, asap, dan polusi udara berlebihan. Furthermore, gunakan masker saat berada di tempat dengan udara kotor
  3. Rajin berolahraga ringan seperti jalan kaki atau berenang. Also, olahraga membantu paru bekerja lebih baik dan lebih kuat
  4. Makan makanan bergizi terutama yang kaya vitamin C dan E. As a result, daya tahan tubuh meningkat dan infeksi lebih mudah dilawan
  5. Periksa kesehatan paru secara rutin terutama jika punya riwayat penyakit paru. Therefore, masalah bisa ditemukan lebih awal sebelum bertambah parah
  6. Segera berobat jika batuk tidak kunjung sembuh lebih dari dua minggu. Moreover, batuk lama bisa menjadi tanda masalah serius di paru
  7. Lakukan vaksinasi yang dianjurkan seperti vaksin influenza dan pneumonia. In addition, vaksin membantu tubuh melawan infeksi penyebab hemoptisis
  8. Kelola penyakit kronis seperti jantung dan diabetes dengan baik. Furthermore, penyakit kronis yang tidak terkendali bisa memicu hemoptisis

Kapan Harus Segera ke Dokter

Tidak semua batuk berdarah butuh penanganan darurat. However, ada beberapa kondisi yang mengharuskan segera mencari pertolongan medis. Also, mengetahui tanda bahaya bisa menyelamatkan nyawa. Therefore, jangan tunda jika mengalami kondisi berikut.

Berikut tanda bahaya hemoptisis yang harus segera ditangani:

  • Batuk mengeluarkan darah dalam jumlah banyak sekaligus. In addition, ini termasuk kondisi darurat yang mengancam nyawa
  • Darah terus keluar dan tidak berhenti selama lebih dari satu jam. Furthermore, perdarahan terus menerus bisa menyebabkan syok
  • Sesak napas yang sangat berat hingga sulit berbicara. Also, ini menandakan saluran napas tersumbat oleh darah
  • Kulit tampak pucat dan tubuh terasa sangat lemas. Therefore, ini bisa menjadi tanda kehilangan darah yang banyak
  • Nyeri dada yang sangat hebat dan mendadak. Moreover, nyeri ini bisa menandakan emboli paru atau serangan jantung
  • Demam tinggi yang tidak turun bersama batuk berdarah. As a result, ini menunjukkan infeksi berat yang butuh penanganan segera
  • Batuk berdarah pada perokok berat atau mantan perokok. In addition, kondisi ini bisa menjadi tanda awal kanker paru

Also, untuk batuk berdarah ringan, tetap perlu periksa ke dokter. Furthermore, jangan tunggu sampai kondisi bertambah parah. Therefore, peluang untuk pulih jauh lebih besar jika ditangani sejak awal. Moreover, pemeriksaan rutin bisa menemukan penyakit sebelum gejala bertambah berat.

Kesimpulan

Hemoptisis atau batuk berdarah merupakan gejala yang tidak boleh disepelekan oleh siapa pun. For example, kondisi ini bisa menjadi tanda dari penyakit serius seperti TBC, kanker paru, atau emboli paru. Furthermore, sekitar 70 hingga 90 persen kasus pada orang dewasa disebabkan oleh bronkitis, bronkiektasis, pneumonia, dan TBC. Also, gejala tambahan seperti sesak napas, nyeri dada, dan berat badan turun perlu mendapat perhatian khusus. Moreover, pemeriksaan seperti rontgen dada, CT scan, dan bronkoskopi sangat membantu dokter menemukan penyebab pastinya. In addition, penanganan hemoptisis sudah sangat maju dengan tingkat keberhasilan embolisasi mencapai 85 hingga 100 persen. Therefore, segera cari pertolongan medis jika mengalami batuk berdarah agar penyebabnya bisa diketahui dan ditangani sejak dini. Finally, menjaga kesehatan paru lewat gaya hidup sehat menjadi langkah terbaik untuk mencegah hemoptisis.

Eksplorasi lebih dalam Tentang topik: Kesehatan

Cobain Baca Artikel Lainnya Seperti: Stenosis Aorta Penyempitan Katup Jantung yang Berbahaya

Author

Related Posts