incahospital.co.id – Ada momen ketika suara terasa berat, tenggorokan perih, dan napas seperti tertahan di area amandel. Banyak orang menganggapnya radang biasa. Namun di ruang praktik dokter, kisah yang berulang ini sering berujung pada satu istilah yang terdengar sederhana, tetapi dampaknya panjang: tonsilitis kronis. Sebagai pembawa berita, saya sering mendengar cerita orang yang sudah bertahun-tahun hidup berdampingan dengan rasa tidak nyaman ini. Beberapa menahannya, sebagian belajar beradaptasi, dan sebagian lagi akhirnya mencari jawaban yang lebih serius.
Mengapa Amandel Bisa Jadi Masalah Berulang

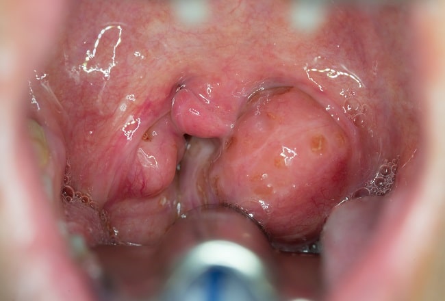
Amandel sebenarnya adalah “pagar” kecil di bagian belakang tenggorokan. Fungsinya menjaga tubuh dari serangan bakteri dan virus. Namun ketika infeksi datang berkali-kali, jaringan ini menjadi lemah, membesar, mudah meradang, dan memicu kondisi yang berlarut-larut. Dokter menyebutnya tonsilitis kronis. Dalam banyak kasus, infeksi yang tidak tuntas, kebiasaan menunda pengobatan, hingga sistem imun yang sedang menurun, menjadi pemicu yang menempel pelan-pelan dan sulit dilepaskan.
Cerita Seorang Pekerja Kantoran
Saya pernah mengikuti kisah seorang karyawan yang selalu datang ke kantor membawa termos air hangat. Setiap rapat, ia batuk kecil dan menelan ludah berulang kali. Ia mengaku sudah terbiasa, katanya “sudah dari SMA”. Saat akhirnya memeriksakan diri, barulah ia paham bahwa radang amandel yang dianggap sepele itu sudah masuk fase kronis. Bukan kisah dramatis, tapi cukup menjadi pengingat bahwa tubuh selalu memberikan sinyal, dan sering kali kita mengabaikannya karena merasa masih kuat.
Tanda yang Pelan Tapi Menyebalkan
Mereka yang hidup dengan tonsilitis kronis kerap merasakan tenggorokan yang mudah sakit, napas kurang segar, suara serak, dan rasa lelah yang datang tiba-tiba. Ada saat ketika makanan terasa sulit ditelan, bahkan sekadar minum air dingin pun memicu nyeri. Tidak semua gejala muncul sekaligus, namun kombinasi kecil yang berulang bisa memengaruhi produktivitas, kualitas tidur, hingga kepercayaan diri saat berbicara di depan orang lain.
Ketika Infeksi Menjadi Gaya Hidup Tanpa Disadari
Ada orang yang mengira dirinya hanya “tidak tahan dingin”. Ada pula yang menyalahkan cuaca atau minuman es. Padahal, jaringan amandel yang terus meradang menciptakan lingkungan ideal bagi bakteri. Lama-lama, infeksi yang seharusnya bisa selesai, justru seperti menetap. Di sinilah istilah kronis terasa sangat nyata, karena tubuh tidak lagi menghadapi peradangan sesekali, melainkan sesuatu yang terus menempel di keseharian.
Peran Kebiasaan Harian yang Sering Terlupa
Kualitas udara, kebiasaan merokok pasif, pola makan yang memicu asam lambung, kurang tidur, hingga jarang minum air, sering kali memperparah tonsilitis kronis. Ini bukan soal menyalahkan kebiasaan, melainkan memahami bagaimana hal kecil bisa memperpanjang proses radang. Dalam berbagai diskusi kesehatan, selalu ada penekanan bahwa gaya hidup adalah bagian dari terapi. Kadang terasa klise, namun dalam kasus amandel, hal itu memang nyata.
Bagaimana Dokter Melihat Tonsilitis Kronis
Saat pasien datang, dokter biasanya melihat riwayat keluhan yang berbulan-bulan bahkan bertahun-tahun. Pemeriksaan tenggorokan, tonsil, dan kelenjar di leher akan menjadi langkah pertama. Ada kalanya diperlukan tes penunjang, terutama jika infeksi disertai demam berulang atau gangguan tidur. Dokter bukan hanya mencari penyebab, tetapi juga menilai apakah kondisi ini masih bisa dikendalikan dengan obat dan perawatan sederhana, atau sudah masuk wilayah yang perlu tindakan lebih lanjut.
Ketika Operasi Menjadi Topik yang Menegangkan
Banyak orang langsung takut mendengar kata operasi amandel. Padahal, keputusan itu tidak muncul tiba-tiba. Biasanya, dokter mempertimbangkan frekuensi kekambuhan, kualitas hidup pasien, dan risiko yang mungkin muncul bila dibiarkan. Operasi tonsil bukan satu-satunya solusi, tetapi dalam kasus tertentu, langkah ini membuat seseorang kembali menikmati hidup tanpa rasa nyeri yang terus menghantui. Dan ya, proses pemulihan memang butuh waktu, namun banyak orang mengakui kualitas hidupnya berubah lebih ringan.
Cara Sederhana yang Sering Terbukti Membantu
Istirahat cukup, minum air hangat, berkumur dengan larutan garam, serta menghindari pemicu iritasi seperti asap rokok, bisa membantu meredakan gejala. Dokter mungkin meresepkan antibiotik bila ada infeksi bakteri yang jelas. Namun, penggunaan obat harus terkontrol agar tidak memicu resistensi. Yang menarik, banyak pasien bercerita bahwa kedisiplinan kecil seperti menjaga kebersihan mulut, mengatur jam tidur, dan membatasi makanan pedas, memberi dampak yang lebih nyata dibandingkan sekadar menunggu obat bekerja.
Ketika Anak Mengalami Tonsilitis Kronis
Kasus amandel kronis pada anak sering jadi dilema bagi orang tua. Di satu sisi, anak tampak ceria di siang hari. Di sisi lain, malamnya ia mendengkur, terbangun, dan sulit bernapas lega. Guru di sekolah kadang memperhatikan bahwa anak mudah lelah dan susah fokus. Saat orang tua akhirnya memeriksakan, barulah terungkap bahwa tonsil yang membesar telah mengganggu kualitas tidur. Ini bukan kesalahan siapa-siapa. Tubuh anak hanya sedang memberi sinyal bahwa ia butuh bantuan.
Efeknya Pada Kehidupan Dewasa
Pada orang dewasa, tonsilitis kronis bisa berdampak pada produktivitas kerja. Ada yang harus menolak undangan presentasi hanya karena suara tidak stabil. Ada pula yang terpaksa absen karena tubuh terasa meriang, meski tidak benar-benar demam. Beberapa orang menyembunyikan rasa sakitnya karena takut dianggap manja. Namun, semakin lama diabaikan, semakin besar kemungkinan masalah baru muncul, mulai dari bau mulut kronis hingga infeksi yang menjalar ke area lain.
Perspektif Kesehatan yang Lebih Menenangkan
Di balik cerita dan diagnosa, tonsilitis kronis bukan vonis menyeramkan. Ini lebih seperti pengingat agar kita tidak menganggap enteng gejala yang datang berulang. Banyak dokter mendorong pasien untuk melihat kondisi ini sebagai perjalanan perawatan, bukan sekadar penyakit. Dengan komunikasi yang baik, perencanaan pengobatan, dan gaya hidup yang lebih peduli, banyak orang berhasil menjalani hari tanpa lagi dihantui rasa nyeri yang tiba-tiba.
Anekdot Tentang Kopi dan Tenggorokan
Saya pernah berbincang dengan seorang penyiar radio yang terbiasa minum kopi sebelum siaran. Ia merasa kopi membantu fokus. Namun, seiring waktu, suaranya sering serak. Setelah konsultasi, ternyata ia mengalami tonsilitis kronis yang diperparah oleh kebiasaan minum kopi saat perut kosong. Bukan berarti kopi adalah musuh. Hanya saja, tubuhnya memberi tanda bahwa kebiasaan itu butuh penyesuaian. Cerita sederhana ini mengingatkan bahwa tiap tubuh punya cara bicara yang unik.
Apa yang Sering Dilupakan
Tonsilitis kronis bukan hanya soal rasa sakit di tenggorokan. Ini menyangkut tidur, konsentrasi, interaksi sosial, hingga kepercayaan diri. Kadang, orang yang mengalaminya merasa “biasa saja” karena sudah terlalu lama hidup dengan gejala itu. Padahal, kualitas hidup yang lebih baik bukanlah sesuatu yang berlebihan untuk diperjuangkan. Perhatian kecil terhadap kesehatan bisa membuka ruang bagi kenyamanan yang sudah lama tertunda.
Peran Edukasi Kesehatan
Informasi yang tepat membantu orang mengenali tanda bahaya lebih cepat. Edukasi tentang tonsilitis kronis menekankan pentingnya pemeriksaan sejak dini, bukan untuk menakut-nakuti, tetapi untuk mencegah komplikasi. Dengan pemahaman yang lebih jernih, keputusan medis terasa lebih rasional, dan pasien tidak lagi merasa berjalan sendirian. Dalam banyak liputan kesehatan, saya melihat bahwa literasi kesehatan yang baik sering kali menjadi titik balik.
Menjaga Harapan Tetap Realistis
Tidak semua kasus butuh operasi. Tidak semua juga bisa selesai hanya dengan obat. Kenyataannya, tiap orang memiliki kondisi yang unik. Perjalanan pengobatan kadang maju mundur, dan itu normal. Yang terpenting, ada diskusi terbuka antara pasien dan tenaga kesehatan, sehingga setiap langkah terasa dipilih dengan sadar. Di sinilah kejujuran pada diri sendiri menjadi bagian dari terapi.
Menghubungkan Kesehatan dan Gaya Hidup
Ketika kita mulai mengaitkan pola tidur, makanan, paparan polusi, hingga kebiasaan minum air dengan kondisi amandel, perspektifnya berubah. Tonsilitis kronis tidak lagi dianggap sekadar “radang tenggorokan”, melainkan cerminan keseimbangan tubuh secara menyeluruh. Pendekatan ini sejalan dengan konsep perawatan kesehatan yang lebih holistik, yang memadukan pengobatan medis dan perbaikan kebiasaan sehari-hari secara konsisten.
Naluri Untuk Mengabaikan, dan Keberanian Untuk Peduli
Banyak dari kita punya naluri untuk menunda periksa, berharap gejala hilang sendiri. Namun ketika rasa nyeri datang lagi, kita mulai bertanya-tanya: sampai kapan. Mengakui bahwa kita butuh bantuan bukan tanda lemah. Justru di situlah keberanian muncul. Bagi sebagian orang, momen itulah yang mengubah perjalanan tonsilitis kronis menjadi pengalaman belajar merawat diri dengan lebih sabar.
Penutup yang Kembali Pada Intinya
Tonsilitis kronis mungkin tidak selalu tampak dramatis di permukaan. Namun bagi yang menjalaninya, setiap hari bisa menjadi negosiasi kecil antara rasa sakit dan aktivitas. Memahami gejala, mendengarkan tubuh, dan mencari penanganan yang tepat, memberi kesempatan pada diri sendiri untuk hidup lebih nyaman. Dalam dunia kesehatan, kesejahteraan bukan hanya soal menghilangkan penyakit, melainkan juga tentang memberi ruang bagi tubuh untuk pulih dengan bijak.
Refleksi Akhir Tentang Perjalanan Kesehatan
Setiap cerita tonsilitis kronis memiliki detailnya sendiri. Ada yang pulih dengan perubahan gaya hidup, ada yang membutuhkan operasi, ada pula yang menemukan ritme perawatan yang stabil. Yang pasti, tubuh selalu punya caranya berbicara. Tugas kita adalah mendengarkan, dan mengambil langkah yang paling masuk akal. Pada akhirnya, menjaga kesehatan tenggorokan bukanlah hal remeh. Ini adalah bagian dari menjaga energi, suara, dan cara kita berkomunikasi dengan dunia.
Temukan Informasi Lengkapnya Tentang: Kesehatan
Baca Juga Artikel Berikut: Sarkoidosis Kronis: Memahami Penyakit yang Jarang Diketahui tapi Berpengaruh Besar
Berikut Website Resmi Kami: jutawanbet
